| 
 
 当院では、去勢・避妊手術から消化器外科、軟部組織外科、生殖器外科、泌尿器外科、整形外科まで様々な手術に幅広くご対応しております。 | 
 | 
当院の外科手術の特徴
当院では、泌尿器疾患に力を入れています。
中でも、尿路結石症では結石により排尿困難となり急速に急性腎不全をきたしてしまうことから、早期の対応が必要になります。
尿管閉塞は発症から5日以内に解除することによって、元の腎機能を維持することが期待されますが、1週間経つと閉塞を解除しても35%の腎機能が失われ、2週間経つと50%の腎機能が失われ、1ヶ月が経過してしまうと腎機能は元に戻らないといわれています。
治療としては、まずは尿管拡張剤や輸液、利尿剤投与などによる内科療法を行い、改善が認められないときには、直ちに尿管切開術や尿管膀胱吻合術、腎瘻チューブ設置術、人工尿管バイパス術などの外科手術が必要になってきます。どの手術方法を選択するかは、年齢や尿管閉塞の位置、腎結石の有無、血液検査におけるカリウムの数値、症状が出てからの期間など様々な条件によって異なってきます。当院では、様々な尿路変更術式や術後の補助的治療(腹膜透析)に対応しています。
泌尿器疾患でお困りの方は是非一度ご相談下さい。
| 
 術前に血液検査やレントゲン検査、超音波検査などを行い、全身状態をしっかりと把握した上で手術を行います。また、様々な術式のなかからその子にあった最適な手術方法をご提案します。 | 
 手術前に今の病状の程度となぜ手術が必要であるのか、手術をしなかった場合には今後どのようになっていくと考えられるのか、などをなるべく分かりやすく丁寧にご説明いたします。 | 
 麻酔管理に成熟したスタッフにより、手術の麻酔管理を行っております。 | 
| 
 小さな体にメスを入れるため、より慎重に丁寧にそして正確に手術を行うことを心掛けています。 | 
 痛みの軽減に対して積極に取り組んでいます。術前にオピオイドなどの鎮痛剤を投与することはもちろんのこと、局所麻酔や神経ブロックを用いることによって、より速い術後の回復に努めています。 | 
 言葉を話せない動物達のために、獣医師と看護師がチームとなって、声なき声に耳を傾けて術後の看護に取り組んでいます。 | 
手術例(クリックしたら下に移動します。手術例によっては気分を悪くされる可能性がございますのでお気を付けください。)
手術は全て予約制となっております。事前に診察を受けていただいた上で、手術予約を取っていただく必要があります。
 ※脳神経外科・胸部外科・股関節全置換術などの一部の外科手術に関しましては、他の病院をご紹介させていただいております。
泌尿器疾患
尿管結石摘出術
| ケース | 18歳、去勢済男の子のネコちゃん | 
|---|---|
| 症状 | 食欲不振と嘔吐で来院されました。血液検査を行ったところ、腎臓の数値の増加が認められました。レントゲン検査ならびにエコー検査において右尿管結石による尿管閉塞が疑われました。 | 
| 手術方法 | 尿管閉塞が認められた場合、1,尿管切開による結石摘出術 2,尿管の一部を切除し膀胱と吻合する尿管膀胱吻合術 3、人工尿管を用いた腎臓皮下尿管バイパス手術 4,尿管ステント挿入 5,一時的な腎瘻チューブ設置術などがあります。それぞれの手術方法には一長一短があります。今回はまだ年齢も若く飼い主様のご意向により、尿管切開による結石の摘出を行いました。 | 
| 術後経過 | 術後、水腎は解消し腎臓の数値も低下し順調に排尿が認められました。 | 
| 図1 | 図2 | 図3 | 
| 図4 | 
腎細胞癌摘出術
| ケース | 10歳8ヶ月、避妊済みの女の子、ワンちゃん | 
|---|---|
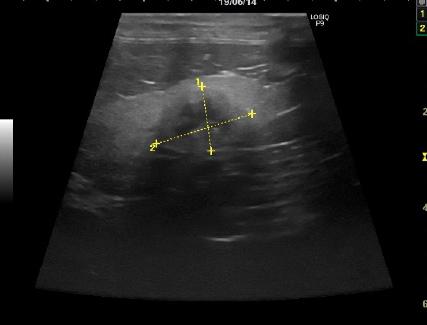
| 症状 | 3日前より食欲不振と嘔吐、下痢を主訴に来院されました。腹部触診にてお腹のなかにしこりが触知されました。エコー検査を行ったところ、左上腹部に腎臓腫瘍が認められました(図1)。オーナー様とご相談の上、摘出することにしました。 | 
| 手術方法 | 全身麻酔下で開腹を行い、腎臓腫瘍の摘出を行いました(図2~3)。また、同時に膀胱内結石の摘出も行いました(図4)。 | 
| 術後経過 | 腎臓腫瘍を病理検査に出したところ“腎細胞癌”との結果でした。腎細胞癌は極めて悪性度の高い腫瘍です。術後、抗癌剤治療を行うなど、大変よく頑張ってくれましたが、手術から8か月後に残念ながら亡くなってしまいました。 | 
| 図1 | 図2 | 図3 | 
| 図4 | 
会陰ヘルニア手術
| ケース | 10歳、未去勢の男の子のワンちゃん | 
|---|---|
| 症状 | 右会陰部が腫大しているとのことで来院されました(図1)。お尻に手を入れて検査したところ、直腸を支えるお尻の周りの筋肉が著しく菲薄化し、筋肉と筋肉の間から膀胱と直腸が脱出している会陰ヘルニアという病気でした。レントゲン検査では膀胱が腹腔内から脱出していることが分かりました(図2)。注腸造影では直腸の湾曲や拡張は認められませんでした(図3)。 | 
| 手術方法 | 当院では、内閉鎖筋転移術・総漿膜転移術・プロピレンメッシュ使用術・結腸腹壁固定術などのその子の症状に合わせて手術方法を選択しています。病変部を切開したところ、膀胱が脱出しており(図4)ヘルニア嚢がとても大きく他の筋肉群も脆弱であったためプロピレンメッシュを用いて整復しました(図5、6)。 | 
| 手術経過 | 術後、膀胱も元の位置にもどり(図7)、排便もできるようになりました。 | 
| 図1 | 図2 | 図3 | 
| 図4 | 図5 | 図6 | 
| 図7 | 
尿路変更術
腎瘻チューブ、SUBシステム
| ケース | 11歳、避妊済の女の子、ネコちゃん | 
|---|---|
| 症状 | 昨夜から嘔吐と食欲廃絶で来院されました。血液検査では尿毒症とカリウムの著しい高値が認められました。超音波検査では、右尿管閉塞による水腎と左腎の萎縮が認められました。 | 
| 手術方法 | 著しいカリウムの高値が認められたことから、輸液、利尿剤、インスリン、グルコン酸カルシウムの投与を行ったもののカリウムは低下せず、不整脈も認められたため、短時間の麻酔時間で済むように腎瘻チューブの設置を行い、尿毒症が改善した後、改めて腎臓皮下尿管バイパス手術(SUBシステム)を行いました。 | 
| 手術経過 | 軽度の腎障害は残りましたが、術後の経過は順調でした。 | 
| 図1 | 図2 | 図3 | 
| 図4 | 図5 | 
消化器疾患
腸重積整復術
| ケース | 15歳9ヶ月、避妊済みの女の子、ワンちゃん | 
|---|---|
| 症状 | 昨日よりぐったりしており、食欲もなく呼吸が速く血便が見られるとのことで来院されました。触診を行ったところ、お腹のなかにしこりが触知され、超音波検査を行ったところ腸重積(図1)と消化管壁の肥厚(図2)が認められました。また、貧血や心臓の弁膜症などがあることも分かりました。超音波ガイド下で腸の腫瘍に針を刺して、細胞の検査を行いましたが、明らかな情報は得られませんでした。オーナー様とよく相談した上、試験開腹を行うことになりました。 | 
| 手術方法 | 貧血があったため、術前に輸血を行い、手術中も輸血を行いました。全身麻酔下でお腹を開けたところ、横行結腸に腸重積があり、その遠位に硬くなったしこりを認めました(図3)。腸重積を解除し(図4)、腫瘍と思われる領域の腸を切除し、端・端吻合を行いました(図5~6)。腸のつなぎ目には大網と呼ばれる膜を貼り付け、頑丈にしました。 | 
| 術後経過 | 腸管腫瘍を病理検査に出したところ、“消化管間質肉腫(GIST)”との診断でした。切除断端には腫瘍細胞はなく術後の経過は良好で、食欲も戻り、良好便になりました。 | 
| 図1 | 図2 | 図3 | 
| 図4 | 図5 | 図6 | 
口腔内疾患
下顎部分切除術
| ケース | 14歳、去勢済の男の子、ワンちゃん | 
|---|---|
| 症状 | 口臭が気になるとこことで来院されました。下顎犬歯の歯根が露出しており、化膿と重度の炎症が認められました(図1)。顎のレントゲンを撮影したところ、右下顎骨の骨折が認められました(図2-1、図2-2)。重度の歯周病による骨融解が疑われました。 | 
| 手術方法 | 下顎骨の部分切除術を行いました(図3)。術後しばらく食べられなくなる可能性があったため、食道チューブも入れておきました。 | 
| 術後経過 | 下顎が短くなりましたが(図4)、食道チューブを使用することなく普通にご飯を食べられていたため、術後1週間後には食道チューブも取り除きました。 | 
| 図1 | 図2-1 | 図2-2 | 
| 図3 | 図4 | 
上顎部分切除術
| ケース | 17歳、避妊済みの女の子のワンちゃん | 
|---|---|
| 症状 | 3か月前から口臭がひどく、他の病院で抗生剤を処方されたが、改善しないとのことで来院されました。口腔内を確認したところ、右上顎に腫瘍が形成されていました。細胞診を行ったところ、悪性腫瘍が疑われました。この子は高齢であり、貧血や腎臓病も抱えていたことから、ご家族とよく相談したところ、手術を強く希望されたことから、摘出術を行いました。 | 
| 手術方法 | 貧血があったため、手術前に輸血を行いました。その後、全身麻酔下で上顎部分切除を行いました。 | 
| 手術経過 | 術後、経過は良好でしたが、5か月後に腎不全のため亡くなりました。 | 
| 図1 | 図2 | 図3 | 
| 図4 | 
整形外科疾患
椎間板ヘルニア整復術
| ケース | 4歳、避妊手術済女の子のワンちゃん | 
|---|---|
| 症状 | 後肢麻痺、排尿障害で来院。両後肢の固有位置反射は消失していました。レントゲン検査においてL13-T1の椎間狭窄が認められ、椎間板ヘルニアを疑い、大阪のネオベッツVRセンターにてMRI検査を実施。T13‐L1間において脊髄硬膜外圧迫所見が認められ、Hansen type1胸腰部椎間板ヘルニアと診断しました。 | 
| 手術方法 | 画像診断において脊髄の左側に椎間板脱出所見が認められたため、同部位の片側椎弓切除を行い、神経を圧迫していた椎間板脱出物質を取り除きました。 | 
| 手術経過 | ご家族の懸命のリハビリのかいもあり、元気に歩くことができるようになりました。 | 
| 図1 | 図2 | 図3 | 
| 図4 | 図5 | 
術後すぐ
術後1ヶ月
前十字靱帯断裂整復術
| ケース | 11歳、未去勢の男の子、ワンちゃん | 
|---|---|
| 症状 | 2週間前より左後肢をケンケンして、全く地面につかないとのことで来院されました。お預かりして脛骨前方引き出し試験と脛骨圧迫試験を実施したところ、引き出し徴候が認められたことから前十字靱帯の断裂と診断しました(図1~2)。糖尿病やクッシングなどの基礎疾患がないか各種検査を行いましたが、特に異常は認められませんでした。 | 
| 手術方法 | 関節包を開いたところ、やはり前十字靱帯が切れていました(図3)。傷んだ半月板を除去し、関節外において外側腓腹筋種子骨と脛骨結節を特殊な糸で結ぶ関節外修復法を行いました(図4~5)。 | 
| 術後経過 | 術後しばらくは鎮痛剤の投与と安静を保ちますが、術後4日目からはリハビリを開始しました。退院後も毎日ご自宅でリハビリを行って頂き、術後2週間目には軽い歩行も可能になりました。術後1か月後には、ほぼ元と変わらない歩行となりました。 | 
| 図1 | 図2 | 図3 | 
| 図4 | 図5 | 
膝蓋骨脱臼整復術
| ケース | 9か月齢、去勢済の男の子、ワンちゃん | 
|---|---|
| 症状 | ワクチン接種の身体検査にて膝蓋骨脱臼gread4/4が認められました。その後も寝起きなどに足を挙げるなどの症状が認められ、レントゲン撮影においても大腿骨の遠位端と脛骨の内側顆が接地していたため、オーナー様と相談の上、整復手術を行うことにしました。 | 
| 手術方法 | 手術では、生まれつき浅い滑車溝を削って深くし、膝蓋骨が収まるようにすると共に、関節包の一部を切除し縫い縮めました(図1~2)。また、関節が内旋していたため、ラテラルスーチャーを用いて脛骨の内旋制御を行いました(図3)。 | 
| 術後経過 | 術後、ロバート・ジョーンズ包帯にて関節を固定しました。毎日、包帯交換を行い、傷口を確認し、術後4日目から屈伸などのリハビリをスタートしました。関節の浮腫や腫脹は認められなかったので、術後7日目には退院となりました。自宅でもリハビリを続けて頂き、術後1か月のレントゲンでは特に異常は認められず、歩行もほぼ問題ありませんでした。 | 
| 図1 | 図2 | 図3 | 
| 図4 | 
肝・胆・膵系疾患
胆嚢摘出術
| ケース | 9歳、未避妊の女の子、ワンちゃん | 
|---|---|
| 症状 | 元気消失、食欲不振で来院されました。血液検査で肝酵素の上昇が認められました。超音波検査では、胆嚢粘液嚢腫が認められました。 | 
| 手術方法 | 胆嚢の摘出と肝生検、胆汁の培養・感受性検査を行いました(図1~4)。 | 
| 手術経過 | 胆嚢の病理検査の結果“壊死性胆嚢炎”という診断検査でした。これは胆嚢壁が粘液を異常に産生することにより、胆嚢が著しく腫大し、胆嚢周囲への血流が阻害されたことによるものと考えられています。放置しておくと、胆嚢破裂を起こし、胆汁性腹膜炎で死亡していたかもしれません。胆汁検査の結果、胆汁中に細菌感染はなく、肝生検の結果も特に異常なしとのことでした。術後、とても元気になり、食欲も出てきたとのことでした。 | 
| 図1 | 図2 | 図3 | 
| 図4 | 
肝臓腫瘍摘出術
| ケース | 14歳、去勢済の男の子のワンちゃん | 
|---|---|
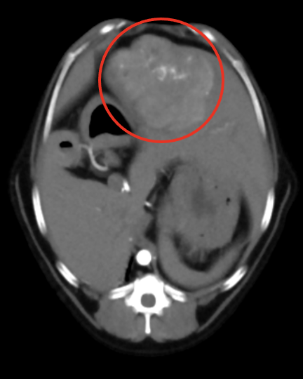
| 症状 | 健康診断の血液検査で肝臓の数値が高かった為、肝臓の超音波検査を行なったところ、肝臓に腫瘍が見つかりました。CT検査の結果、肝臓の内側左葉に出来た腫瘍であることが分かりました。 | 
| 手術方法 | 全身麻酔下で腹部正中切開と左傍肋骨切開を行い、腫瘍を取り出しました。通常は血管の位置関係から肝臓内側左葉と外側左葉は同時に摘出するのですが、この子の場合は、術前のCT検査の結果から、外側左葉は温存し、内側左葉の腫瘍部分だけを摘出することができました。 | 
| 術後経過 | 病理検査の結果“高分化型肝細胞癌”との診断で切除断端には癌細胞は残っていないとのことでした。術後、血液検査で肝酵素も低下し術後経過は良好でした。 | 
| 図1 | 図2 | 図3 | 
| 図4 | 図5 | 図6 | 
総胆管結石摘出術
| ケース | 12歳、去勢済の男の子のワンちゃん | 
|---|---|
| 症状 | 元気・食欲低下で来院されました。黄疸が認められ腹部触診で上腹部に激しい痛みが認められました。血液検査の結果、肝酵素の著しい増加が認められ、レントゲン検査において肝内胆管と総胆管内に結石が認められました。超音波検査では、総胆管の著しい拡張と十二指腸開口部に結石が確認されたことから、結石による総胆管閉塞と診断しました。 | 
| 手術方法 | 輸液を行い、一般状態を改善させてから開腹し、十二指腸を切開し、指で総胆管内の結石を触知し、大十二指腸乳頭から閉塞している結石を取り出しました。 | 
| 術後経過 | 残念ながら術度にDIC(播種性血管内凝固)を発症し、術後3日目に亡くなりました。 | 
| 図1 | 図2 | 図3 | 
| 図4 | 図5 | 図6 | 
腫瘍疾患
小腸腺癌摘出術
| ケース | 11歳、避妊済み女の子のワンちゃん | 
|---|---|
| 症状 | 4日前からの食欲不振で来院。腹部超音波検査において腸管に腫瘤性病変を認めました。また、腸管近傍にも病変が認められました。針生検を行ったところ、上皮性腫瘍細胞が認められました。 | 
| 手術方法 | ご家族とご相談の上、腫瘍の摘出を行いました。腫瘍は小腸(空腸)に認められ、腸間膜リンパ節への転移も認められていたので、腫瘍の切除と腸間膜リンパ節の切除を行い、腸管の端‐端吻合を行いました。 | 
| 手術経過 | 手術翌日からご飯を食べてくれ、順調に回復していましたが、術後1年後に後腹膜への転移が認められ、その1ヶ月後に亡くなりました。 | 
| 図1 | 図2 | 図3 | 
| 図4 | 図5 | 
脾臓血管肉腫摘出術
| ケース | 11歳1ヶ月、去勢済みの男の子、ワンちゃん | 
|---|---|
| 症状 | ご飯を食べた後に突然嘔吐をし、その後全身に力が入らなくなったとのことで来院。来院時、チアノーゼがあり、脈も弱くなっており、低体温になっていました。いわゆるショック状態となっており、各種検査を行ったところ、貧血と脾臓腫瘍と腹腔内の液体貯留が認められました。脾臓腫瘍の破裂を疑い、まずは輸血による一般状態の改善を行い、それから脾臓腫瘍の摘出を行うことにしました。 | 
| 手術方法 | 全身麻酔下で開腹を行い、脾臓腫瘍の全摘出を行いました(図1~2)。 | 
| 術後経過 | 脾臓腫瘍を病理検査に出したところ、“血管肉腫”との診断でした。ご家族と相談の上、術後、抗癌剤治療を行うことにしました。抗癌剤は3週間毎に血管内に点滴で投与しました。ご家族の支えもあり、抗癌剤治療に大変頑張ってくれましたが、手術から8ヶ月後に亡くなりました。 | 
| 図1 | 図2 | 
上皮小体腫瘍摘出術
| ケース | 13歳、去勢済男の子のワンちゃん | 
|---|---|
| 症状 | 血液検査において高カルシウム血症が認められました。ホルモン検査を行いましたが、悪性腫瘍からくる高カルシウム血症の可能性は低く、CT検査の結果、4つの上皮小体の内、1つが腫大していたことから、上皮小体機能亢進症と診断しました。 | 
| 手術方法 | ご家族とよくご相談の上、頸部にある上皮小体の摘出を行いました。 | 
| 手術経過 | これまで上皮小体腫瘍によってホルモンが出過ぎていたため、高カルシウム血症になっていましたが、腫瘍を摘出したことによって、今後はホルモンが出なくなることによって低カルシウム血症になりました。術後、カルシウム剤を飲み続ける必要があります。 | 
| 図1 | 
呼吸器疾患
肺葉切除術
| ケース | 4歳、去勢済の男の子のワンちゃん | 
|---|---|
| 症状 | 誤食の際のレントゲン検査で肺に水が溜まっているかもといわれて、当院を受診。右後葉の葉間に不透過性の亢進が認められ、CT検査を行なって頂いたところ、右肺後葉に嚢胞状の構造が認められました。 | 
| 手術方法 | 右肋間からの開胸を行い右肺後葉の全摘出術を行いました。摘出後、胸腔内に生理食塩水を入れ、肺の損傷や空気の漏れがないか確認しました。その後、胸腔チューブを設置し、閉創しました。その際、皮下には痛み止め注入用のチューブも設置し、術後6時間毎に痛み止めを注入しました。 | 
| 術後経過 | 摘出した肺の病理検査の結果では、広範囲の壊死・出血が認められ、ほとんど正常な肺構造は認められず、肺の先天的な形成異常である先天性肺気道奇形(CPAM)が疑われました。術後の経過はとても良好で、元気に過ごしてくれています。 | 
| 図1 | 図2 | 図3 | 
| 図4 | 図5 | 図6 | 
| 図7 | 図8 | 図9 | 
| 図10 | 
胸腺腫摘出術
| ケース | 9歳、去勢済の男の子のネコちゃん | 
|---|---|
| 症状 | 食欲低下と咳を主訴に当院受診。レントゲン検査を行ったところ、前胸部に腫瘤性病変が認められました。超音波ガイド下で細胞診検査を行ったところ、胸腺腫が疑われたことから、ご家族とよく相談の上、腫瘍の切除術を行いました。 | 
| 手術方法 | 腫瘤がかなり大きかったため、胸骨正中切開を行い、腫瘤の摘出を行いました。摘出後、胸腔内に生理食塩水を入れ、肺の損傷や空気の漏れがないか確認しました。その後、胸腔チューブを設置し、閉創しました。 | 
| 術後経過 | 摘出した腫瘤の病理検査の結果も胸腺腫でした。術後は、とても激しい疼痛を伴うため、麻薬系の鎮痛剤をしばらく使用しました。術後経過は順調で、元気に過ごしてくれていました。 | 
| 図1 | 図2 | 図3 | 
| 図4 | 図5 | 図6 | 























































































